Home
Servicios
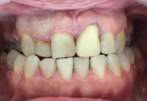
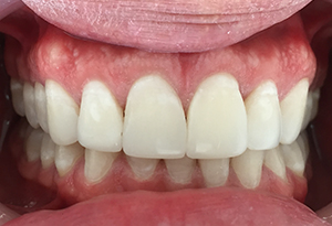
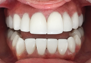
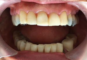
Implantes Dentales
Rehabilitación Oral
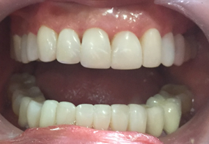
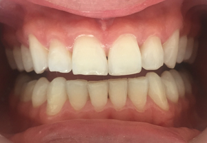
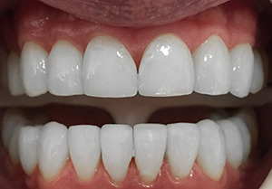
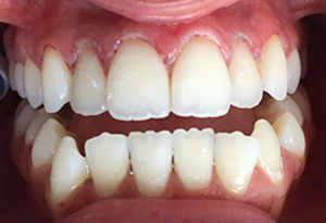
Diseño de Sonrisa
Blanqueamiento
Ortodoncia
Endodoncia
Periodoncia
Agendar Cita
Galeria
Contacto
312 832 2303
claudiasoto5@hotmail.com
Calle 118 #19-52 Of. 205
Bogotá-Colombia
DESIGN BY WWW.ANDRESLUNADESTUDIO.COM